Invisalign Before & After

Open Bite

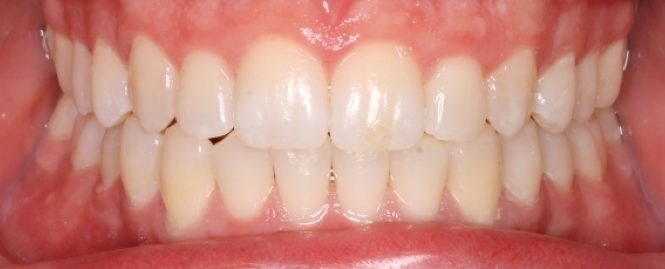
Deep Bite

12-245-jeremy-peacock-initial04-27-2012-intraoral-anterior 12-245-jeremy-peacock-final-ii02-28-2014-intraoral-anterior

Severe Crowding

ABozik-Initial(02-15-2012)-Intraoral anterior ABozik-Final(09-17-2013)-Intraoral anterior